来源:本站 时间:2021-02-23 10:33:07 热度:5350
首发丨(ID:百川脊柱健康学)公众号
作者丨黄开斌 北京百川健康科学研究院院长
一般认为脊柱疾病发病年龄以中老年人居多,但据临床观察,脊柱疾病的发病年龄出现了逐年下降的趋势,青少年甚至学龄前的孩子也正在受到脊柱疾病的威胁和伤害。其中,现在青少年脊柱侧弯是越来越多!当很多家长发现自己家孩子脊柱侧弯时,已经比较明显:后背明显高低不同;高低肩;骨盆上下倾斜、左右倾斜等。
脊柱超过10度以上的侧弯,从医学上才称为侧弯,如果成年人的侧弯只有10度,其实还算ok,因为一个人不可能完全对称,不过如果背痛、腰痛的症状另说。但如果青少年、幼儿,有10度侧弯,也应当引起重视,因为他们在长身体,脊柱的可塑性强,歪着长很容易恶化!
脊柱侧弯已经成为威胁青少年健康的“杀手”之一。青少年是“早晨八、九钟的太阳”,是我们国家的希望。今天在关注青少年的同时,我们应重视脊柱侧弯的早期诊治,还花季少年挺拔的体态,让孩子的脊梁挺起来。
一、脊柱侧弯的表现
1、什么是脊柱侧弯?
脊柱侧弯是一种常见的骨骼问题,在站姿下,不管从正面或背面看,正常的脊椎排列应该是身体左右两边对称,并且正常的脊椎排列从上到下是呈一直线的。
如果在站姿下看到脊柱向身体的任何一边弯曲歪斜,就是有可能是脊柱侧弯,左右手臂与躯干之间的空隙不对称,右侧肩膀较高。不过,大部分的脊柱侧弯并不只有单一平面的左右倾斜,通常会伴随着脊椎旋转,往往也会影响到肩胛骨的动作,导致肩关节的活动度受限。

2、脊柱侧弯的临床表现
(1)症状:脊柱侧弯患者可能会出现以下一些症状,如腰背酸痛,消化不良,食欲不振,心搏加速,心慌意乱,气短,胸腹胀满,四肢肌肉无力,四肢反应敏感度不同,躯干矮小,体力较弱等。
(2)体征:经医生的检查会发现以下的一些体征,如某脊椎骨偏离正中线、胸骨肩突偏离正中线、双肩不等高、背不等平、骨盆不等高、双下肢不等长,半脊椎、楔形椎体、蝴蝶椎、椎弓及其附属结构的发育不全等。
3、脊柱侧弯可分如下几种
(1)特发性的脊柱侧弯:目前病因不明确,可能跟遗传因素有关,例如中枢神经系统改变等。
(2)先天性的脊柱侧弯:各种胎儿时期的骨骼发育异常,如先天性半锥体、楔形体均可造成脊柱的畸形。
(3)后天性的脊柱侧弯:主要原因是姿势不良,例如长期歪坐、歪站、单肩背包导致脊柱两侧的肌肉力量不平衡,脊柱骨骼得不到良好的支撑,诱发了脊柱侧弯。
如果从年龄上分类,脊柱侧弯分为:幼儿脊柱侧弯(3岁以下);少年脊柱侧弯(3到10岁)和青少年脊柱侧弯(10到18岁)。之所以这样分,是想告诉大家,青少年脊柱侧弯占比最多,10岁到18岁这是高发人群,需要各位家长严格重视,早发现,早纠正!而且这个时期,小孩儿的脊柱可塑性强,纠正起来有效!相反,如果任其发展,恶化风险也大!
青少年的脊柱侧弯,通常都是胸椎向右侧凸,腰椎向左侧凸。如果你家小孩儿侧凸方向相反,还需要考虑其它病症的影响。侧弯发生之后,骨盆会向左或向右偏向一侧;肋骨旋转,身体扭曲;非常影响整个脊柱。
4、脊柱侧弯的发病率
国内外大量资料显示,脊柱存在问题的人相当普遍。我国的资料显示,脊柱存在问题的人儿童期达到60%,青少年达到80%,中老年达到95%以上。其中,中小学生中脊柱侧弯的发生率高达25%以上(X线平片上可见到的至少在20%)。最近一家医院做了一份关于脊柱疾病的随机检查,统计结果显示:有70%的少儿患有不同程度的脊柱侧弯,可见非常普遍。而进一步研究发现,中老年人的“脊柱侧弯症”80%源于幼时。总之,青少年的脊柱侧弯发病率很高,所以,在儿童时期就应注重脊柱的健康。
二、脊柱侧弯的危害
脊柱侧弯对青少年的危害很大,不仅影响外观。还可能影响心、肺功能的正常发育生长,严重影响青少年的身心健康。如果严重的话会引起身体各大系统功能均受不同程度的影响,因此危害巨大!
1、影响身体外形
由于脊柱侧弯,影响了人体骨骼的正常生长发育,导致脊柱变形、肩背部不平、胸廓畸形、驼背、鸡胸、肩不等高、背不等平、骨盆倾斜、腿不等长,身体扭曲,身躯矮小。因为外形的异常,患者会产生自卑心理,不喜欢和人交往,久而久之会影响心理的健康,严重的会发展成自闭症。

2、影响生理功能
脊柱侧弯引起脊柱两侧受力不平衡,可引起腰背痛,易导致肩背部、腰部顽固性疼痛,严重者甚至出现神经受损、神经受压、肢体感觉障碍、下肢麻木、大小便异常等症状。
并可在凹侧产生骨刺,压迫脊髓或神经,引起截瘫或椎管狭窄。脊柱侧弯造成了胸腹腔面积的减小,严重影响了患者的呼吸系统、消化系统、血液循环系统、内分泌系统等正常的生理功能,这一类病人中,成年以后,平均寿命普遍比正常人短,很多人死于心肺并发症。
(1)影响心肺功能
早发性脊柱侧弯患者的尸检结果表明,其肺泡数量低于正常人,肺泡过度充气或萎缩,累积肺叶或全肺,肺动脉直径也远低于同龄人。
脊柱侧弯患者胸腔容积减小,吸气相和呼气相胸廓容积均低于正常对照组。脊柱侧弯影响气体交换,包括局部通气、血流、通气血流比、弥散等。易发短气、喘气等呼吸障碍,且影响血液循环。
(2)影响胃肠系统
脊柱侧弯使腹腔容积减小、脊柱神经对内脏的调节功能紊乱,进而引起食欲不振、消化不良等胃肠系统反应。
(3)可能压迫脊髓
脊柱侧弯还可能会压迫脊髓,造成截瘫或丧失劳动力,甚至危及生命会缩短寿命。所以防治脊柱侧弯是我国肢残康复工作的重要组成部分。
3、造成的不良后果:
(1) 青少年特发性脊柱侧凸(AIS)胸椎严重后凸、椎体旋转和呼吸肌力减退都严重影响肺功能,但是很少会有心肺功能衰竭的危险。所以死亡率与正常人是一样的。
(2) 未治疗的AIS可能的后遗症有背痛,限制性肺通气障碍,影响整体功能。
(3) 体育活动受到明显限制:主要原因包括功能障碍和长期在的背痛。
(4) 社会心理因素:侧弯青少年与同龄相比,表现出更缺乏自信,对自身体型的认可度偏低。
(5) 生活质量:存在严重心理疾患、社会隔离、工作机会受限、低结婚率等问题。
总之,脊柱侧弯给患者的正常工作、学习、生活、精神、婚姻、家庭等诸方面带来极大的困扰和不便。
其中,脊柱侧弯轻者影响生活质量,脊柱侧弯一半以上病人有腰腿疼,劳动能力下降,少数人甚至不能工作。如果脊柱侧弯过于严重,不仅会给孩子生理、心理带来巨大压力,而且会造成胸廓畸形,使胸腔容量减少,严重时会使脊髓与神经根受压迫而导致下肢瘫痪,使病人完全丧失行动能力。甚至危及生命。
三、脊柱侧弯的成因
大部分的脊柱侧弯都是不明原因的,约占80%,这一类我们称为特发性脊柱侧弯和原发性脊柱侧弯,临床上大部分(80%以上)属于特发性脊柱侧弯,此外还有先天性脊柱侧弯、神经肌肉源性脊柱侧弯(例如脑瘫)和后天性脊柱侧弯等的原因也不是很明确。
1.特发性脊柱侧弯病因尚未明确,一般认为其与遗传因素、结缔组织异常、神经肌肉性因素、生长激素等有关。
2.先天性脊柱侧弯系胎儿脊柱发育异常引起的脊柱畸形。先天不足,如早产等,造成儿童骨骼发育迟缓或出生时对婴儿脊柱造成的产伤。
3.后天性脊柱侧弯的原因主要可以分为内因及外因两方面。
(1)内因方面:中医认为少儿脊柱关节病与肾有关。随着现在生活、饮食习惯的改变,夏天空调开得过大,吹的时间过久,造成脾胃功能降低、肾虚,导致骨骼及椎间盘发生病变。除此外,脊柱健康学的研究初步认为,跟气血不足或气血亏空,乃至气血不通(经络不通)也有密切关系。
(2)外因方面:长期的睡、坐、站姿势不正确。例如:婴儿仰卧时枕头过硬过高,过早的被放入推车内而失去了爬行阶段。还有就过重的负担,如体力劳动及重书包的影响。书包过重是一个不容忽视的致病因素。现在小学二至五年级的学生书包一般达3千克重,有的达到5千克。
另外,青少年都很缺乏体育锻炼或不适当的体育运动。加之日常的不良生活习惯,如躺在床上看书、长时间看电视、打游戏等,都会引起脊椎关节错位或变形。
四、如何检测判断脊柱侧弯?
由于儿童脊柱比较柔韧,潜在的病情往往不易觉察,到了15岁左右才显现症状,25岁就会成为长期病痛。换言之,少年儿童脊柱由于尚未发育成熟,结构不稳定,容易发生某个部位位移而造成侧弯,但由于少年儿童脊柱的承受能力、柔韧性的包容程度较高,可能当时不会有症状,但经年累月就会造成永久性的损伤。
再者说,平时孩子穿着衣服家长是很难发觉孩子脊柱侧弯的,而脊柱侧弯发展起来又非常快,一般一年弯曲会增加5~10 度。如果脊柱侧弯度数过大,甚至可以造成残废。因此,应该提倡在青少年中开展普查活动,早期发现脊柱侧弯。要想早期发现它,首先要注意观察孩子的体态是否对称。体态不对称主要体现在以下三个方面:
1、让孩子放松自然站立,家长就站在孩子身后,观察是否有高低肩,即两肩不在一个水平面上,高低不平。从正后方观察脊柱不能成一直线,双上肢肘关节和身体侧面的距离不等。这些可能都是脊柱侧弯的表现,应做进一步检查。如小孩站姿歪斜(站没站像,坐没坐样),要警惕脊柱侧弯。
2、让孩子脱去上衣,双脚并拢,手自然下垂放在身体两侧,家长检查小孩有无高低肩,肩胛骨是否左右对称,两侧腰部的肌肉及皱纹不对称,以及骨盆两侧是否等高。或骨盆是否歪斜(具体怎么歪的,前倾后倾/侧倾/旋转还需要专业人士判断),用中指从孩子脊柱上面滑下来,看看脊柱是否不直。如果发现孩子有以上不正的体态表现,就有脊柱侧弯的风险。
需要注意的是一般的发育不良,如站立、坐时难以正直、两肩高度不一、后背驼或驼向一侧、走路时两臂摆动不一致、头部经常歪向一侧、腰背时有疼痛、易疲劳、不爱活动、食欲不振、注意力不集中,甚至被怀疑为多动症的儿童均可能有隐蔽的脊柱侧弯,家长或老师对此认识不足,常常会忽略儿童脊椎健康。
3、让孩子背对家长,站姿缓慢弯腰,直腿弯腰到90度,家长在这个过程中双眼平视背部,观察孩子后背/腰左右高低是否一样,有无隆起。如果高低不同,很可能有脊柱侧弯!
家长们还需要注意的是,脊柱从后面看,是侧弯了;如果从侧面看,脊柱的生理弧度也发生了变化,本来胸椎是向后的,脊柱侧弯的人会变得平背。腰椎曲度本来是向前的,会变得平直;在这里还要说一下,平背会增加脊柱侧弯的风险。从头顶往下看,脊柱侧弯的人,脊椎也发生了旋转,你会看到肩部、胸部、腰部发生了旋转扭曲!
这两个动作虽然简单,但却非常重要!早发现,早矫正!也就是所谓的亚当测试 (Adam test),这是自测是否脊柱侧弯最好、最简单的方式,大家可以试着测试看看。
脚与肩同宽站立,双手合十向前弯,检查者从后方检视患者的背部是否有不对称的突起,较高的凸起即为侧弯的凸侧。如果发现孩子背部一侧明显高低不一致、有高低肩、肩胛骨左右不对称、骨盆不等高,则考虑有可能是脊柱侧弯,需要到医院做进一步确诊。
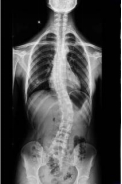
第二步是需要家长带小孩到医院拍摄全脊柱的X光片,确定小孩脊柱侧弯的度数。在医院做的全脊柱(颈胸腰骶椎)X光片,可直观得出是否有脊柱侧弯、侧弯度数。这是目前对脊柱侧弯最确切的诊断方式,以cobb角10度作为标准,如果这个角度大于10度,就要诊断脊柱侧弯了。

不过,小孩儿(18岁以前)的脊柱侧弯一般都不会有什么症状,所以也较难被及时发现。一般幼儿脊柱侧弯是在家长给孩子洗澡时发现;青少年脊柱侧弯在自己照镜子或洗澡时发现,或被朋友发现,或者在学校体检时被告知;但是,其实还是有很多青少年,早期是没有被发现的!到严重的时候才被发现!这样就耽误了康复纠正进程!也有很多家长发现了孩子脊柱侧弯,但还不严重没有重视,也导致逐渐恶化!
这种行为和发展都是毁了孩子一辈子的,其实康复矫正脊柱侧弯这个事情比上学念书要重要多了!因为孩子长大了,身体扭曲,脊柱疼痛,都是不可逆的!所以,家长一定要经常观察孩子的后背,姿势,体态!如有发现异常,因为脊柱侧弯对孩子的影响是很大的,从外在到内在的健康,到对孩子心理的打击,都比学习考试要影响深远。早发现,早纠正!还要注意和纠正日常坐姿/站姿/走路姿势!
五、脊柱侧弯应怎么处理
对于脊柱侧弯度数在10度以内的,可密切随访,同时进行姿势训练和纠正体操;对于脊柱侧弯度数在10-20度的,除上述方法外,外加侧方电刺激或脊柱调理保养;对于脊柱侧弯度数在20-40度的,佩戴侧弯矫形器是主要的治疗方法,同时进行纠正体操或侧方电刺激;对于脊柱侧弯度数在40度或45度以上,或曲度稍小但旋转畸形严重的患者,应进行手术矫正,术后再佩戴矫形器。
在此,重点介绍一些脊柱侧弯自我康复的三大方式,分别是改变呼吸方式、改善不良姿势、改善肌力平衡。
1.改变呼吸方式
脊柱侧弯、胸廓变形,易压迫心肺,引起呼吸障碍。因此需进行缩唇呼吸纠正凹侧吸气量少的症状等。
2.改善不良姿势
姿势不良与脊柱侧弯可互为因果,并恶性循环。因此控制脊柱侧弯的发展需重视不良姿势的纠正。抬头挺胸,勿弯腰驼背,尽量避免长时间翘二郎腿的姿势。也可以试着把办公椅换成健身球,因为一旦你的坐姿如果发生严重变形,你是没有办法坐在健身球上的,所以你的身体自然会坐正、坐好。
3.改善肌力不平衡
脊柱侧弯患者两侧肌力不平衡,可用泡沫轴、健身球,或者是普拉提动作来放松紧张肌肉,进行对称性训练,来改善功能、缓解症状、控制病情发展。
六、如何预防脊柱侧弯发生?
1.养成良好的姿势
小孩的桌椅高低要合适,小孩写字、看书姿势要正确。家长应培养小孩正确的坐姿、站姿、走姿、卧姿,可以保持脊柱健康形态,减少脊柱疲劳,促进身高发育和身体健康。
2.使用合理硬度的睡床
家长不要让孩子长时间睡在过软、过硬的床或者沙发上,选择硬度合适的床让孩子的脊柱在睡觉时得到良好的支撑。

3.适当进行户外活动及锻炼
进行锻炼可以提高小孩的体质,增加身体的肌肉力量以维持合理的姿势。

关注公众号,查看更多文章
2021-07-04
2021-02-24
2021-02-24
2021-02-24
2021-02-24
2021-02-24
Copyriht 2020 by www.jizhu.com. all rights reserved 脊联网网站版权所有
京公网安备:--- 工业和信息化部 京ICP备19030970号-1
北京百川健康科学研究院 脊柱健康产业创新联盟 世界脊柱健康联盟 联合主办 脊联网
投稿邮箱:1348398125@qq.com 手机: 13661171862 [手机站]